Top

Τα αντικαταθλιπτικά ως θεραπεία για τον καρκίνο στο κεφάλι

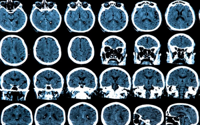
Νέοι δρόμοι ενδέχεται να ανοίξουν στον τομέα της έρευνας για τον εξαιρετικά επικίνδυνο καρκίνο στο κεφάλι εάν δοκιμαστούν φάρμακα που μέχρι τώρα εξυπηρετούσαν άλλους σκοπούς. Σύμφωνα με το βετεράνο ερευνητή Geoff Pilkington, φάρμακα που χρησιμοποιούνται για άλλες παθήσεις μπορούν να αποδειχθούν αποτελεσματικά στην αντιμετώπιση του καρκίνου στο κεφάλι. Ορισμένα αντικαταθλιπτικά φαίνεται πως μπορούν να αποδειχθούν εξαιρετικά αποτελεσματικά στην περίπτωση αυτή. Οι δραστικές των αντικαταθλιπτικών περνούν τον αιματο-εγκεφαλικό φραγμό, ο οποίος εμποδίζει επικίνδυνες τοξίνες να φτάσουν στον εγκέφαλο. Ο Δρ Pilkington μελετά μια κλάση φαρμάκων που ονομάζονται τρικυκλικά αντικαταθλιπτικά από...

Νέοι δρόμοι ενδέχεται να ανο...

Read More

Νέα έρευνα: Τα αντικαταθλιπτικά είναι συμβατά με το θηλασμό

Ερευνητές του Πανεπιστημίου της Αδελαΐδας βρήκαν ότι οι γυναίκες που παίρνουν αντικαταθλιπτικά φάρμακα θηλάζουν περισσότερο εάν συνεχίσουν να παίρνουν τα φάρμακά τους, σε σύγκριση με τις γυναίκες που τα σταματούν γιατί ανησυχούν για την υγεία των μωρών τους. Τα αποτελέσματα ανακοινώθηκαν στο 18ο ετήσιο συνέδριο της Περιγεννητικής Κοινότητας της Αυστραλίας και της Νέας Ζηλανδίας (Perinatal Society of Australia and New Zealand (PSANZ), που πραγματοποιήθηκε στο Περθ της Αυστραλίας. Χρησιμοποιώντας δεδομένα από το Danish National Birth Cohort της Δανίας, οι ερευνητές του Πανεπιστημίου της Αδελαΐδας μελέτησαν τα αποτελέσματα από...

Ερευνητές του Πανεπιστημίου τη...

Read More